Appointment Information

Common questions asked by patients.

Please complete the patient forms either online before you come in or when you arrive at our office.

Bring your

    • Dental Insurance Card
    • Medical Insurance Card
    • Drivers License

A root canal does not have one flat fee because the Endodontist has to choose from over 30 different treatment options based on the tooth and how difficult the case is.

  • Some teeth are simple to treat, and some are more complicated.

  • A back tooth may have more root canals than a front tooth.

  • The Endodontist may need different tools, more time.

  • Some cases need extra procedures before or after the root canal, like imaging or a crown.

So instead of being like buying one item with one set price, it’s more like ordering a meal where the final cost depends on what has to be done.

PHASE I

$823 Diagnosis of Tooth

Includes the following:

  1. Panoramic X-Ray
  2. CBCT 3D Imaging
  3. Pulp Testing
  4. Evaluation of teeth, gums and oral health

 

PHASE II

$1,500+ Treatment Plan (price varies per patient)

Includes the following:

  1. Root Canal (prices vary per patient)
  2. Temporary Filling

 

TOTAL AVERAGE COST $2,734

After your CBCT x-rays and testing, we give you a simple cost breakdown for each procedure, based on your treatment plan and what your insurance plan is expected to pay.

The amount we expect insurance to pay may not be exact until your insurance reviews the actual claim.

We can’t quote exact prices by phone. Here’s why:

Exam Needed First
  • Xrays show tooth damage
  • Size of infection matters
  • Extra canals = higher cost
Treatment Details
  • Simple root canal vs complex
  • Meds or posts add cost
Tooth Location Matters
  • Front teeth: 1 root, simpler/cheaper
  • Molars: 3+ roots, more complex
Your Insurance Varies
  • Plans differ by person
  • Coverage % changes yearly
  • Deductibles reset at different times

We ask that you pay on the day of your treatment. You can choose what percentage of the total cost you want to pay that day based on your price quote.

Whatever percentage you decide that amount will be due at your appointment.

We provide several options for out-of-pocket costs. Click here

There is a 3% convenience fee added to any credit card payments. This is just to help cover the cost of credit card processing, which unfortunately keeps rising.

The 3% DOES NOT apply to

  1. Debit Cards
  2. HSA
  3. FSA
  4. Checks
  5. Cash
  6. Carecredit
  7. Cherry

We will still file a claim within 24 hours even if your insurance is not in network with our office. 

Your plan may still provide some coverage, and we’ll handle all the paperwork for you.

We send the claim to your insurance within 24 hours of treatment, and they pay their part based on what your plan covers. Once they process the claim, they tell us how much they paid and what is left for you.

Most plans split treatment into types, and each type has its own payment percentage.

  • Preventive care (like cleanings and checkups) is usually covered at the highest percentage.
  • Basic care (like fillings) is often covered at a medium percentage.
  • Major treatment or major restoration (like crowns or root canals) is usually not always covered at a lower percentage, so you pay more for those.
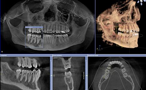
Why Our Own CBCT & Pulp Test

Think of your tooth like a classic car engine. Another mechanic gave a surface check. We need our own full diagnostic scan to spot hidden issues before repair.

CBCT Scan (3D Xray)
  • Reveals extra canals 2D x-rays miss
  • Detects deep cracks or infections
  • Like lifting the hood for complete engine view vs quick glance
Pulp Test (Nerve Check)
  • Confirms if nerve is alive or dead
  • Creates precise repair plan
  • Avoids costly fixes that fail later

 

We take CBCT 3-D images which are different than your general dentist provides. 

We do not need the x-rays for you to be seen.

If you need to take an antibiotic before your appointment, we have Amoxicillin available here at our office or you can contact your General Practitioner or General Dentist.

If you have any allergies, please contact your general dentist for a different prescription instead.

It is safe and important to still come to your root canal appointment while you’re on antibiotics, because the antibiotics and the root canal work together to fully fix the problem.

Antibiotics help your body fight the bacteria causing your tooth infection so the swelling and pain don’t spread or get worse, but they only calm things down and cannot reach inside the tooth well enough to completely get rid of the source of the infection, so the problem can come back if the tooth is not treated.

Please continue taking your regular prescribed medications unless your physician advises otherwise.

If your doctor or dentist has told you to take antibiotics before dental treatment for a heart or joint condition, please do so the day of your appointment; call us with any questions.

If you can safely take ibuprofen or naproxen, we recommend 2 tablets 2–4 hours before your endodontic treatment to help with inflammation.

For most root canals, you usually do not stop blood thinners, and you should not change any doses on your own. Make sure the office and your heart/regular doctor know what you take so they can confirm if any adjustment is needed for you.

What usually happens

  • Root canal treatment is a low‑bleeding procedure, so current dental and medical guidelines generally support continuing anticoagulants and antiplatelet drugs (like warfarin, Eliquis, Xarelto, Plavix, aspirin) for this kind of work.

  • Stopping blood thinners without a doctor’s guidance can increase the risk of serious clots (stroke, heart attack, etc.), which is usually considered more dangerous than mild, controllable dental bleeding.

What to expect during and after

  • The dentist can use local measures (pressure with gauze, sutures if needed, hemostatic agents) to handle minor bleeding while you stay on your medication.

  • You may ooze a little longer than someone not on blood thinners, but significant bleeding after a non‑surgical root canal is uncommon and is usually manageable with simple measures at home (firm pressure on a gauze pad as directed).

Pain medicines and other cautions

  • Many patients on warfarin or other anticoagulants are advised to avoid NSAIDs like ibuprofen or aspirin for pain, because they can add to bleeding risk; acetaminophen (Tylenol), sometimes combined with a prescribed narcotic, is often preferred, but this must be confirmed with your doctors.

We do offer nitrous oxide (“laughing gas”) to help you relax during treatment. It is not always covered by dental insurance, and in many plans it is considered a separate or “optional” benefit. When it is not covered, there can be an additional cost of about $200 out of pocket.

You can drive safely after the appointment and do not need anyone to drive you home.

  1. An endodontist first puts a numbing gel on the gum, then gives a small shot to numb the main nerve.
  2. The lip, chin, tongue, and teeth in that area slowly get numb.
  3. If the tooth is still sensitive, a few tiny extra shots are given close to the tooth so it stays fully numb and comfortable during treatment.
During the Appointment
  1. Patient Check-in
  2. The Doctor provides a diagnosis based off of 3D imaging and pulp testing and discuss treatment options. (20 min)
  3. Our insurance coordinator reviews with you what procedures your insurance covers and what it does not. (20 min)
  4. Same day treatment. (60-90 min)
  5. Check-out (5 min)
    • Next appointment will be scheduled if needed.
After the Appointment
  1. You will be provided with care instructions based on your treatment to ensure proper healing. 
  2. Most patients feel comfortable within a day and can return to normal activities.
  3. Depending on your specific treatment, we may schedule a follow-up appointment to check your progress.
  4. Correspondence from our office to your general dentist will be sent same day.
  5. Insurance claims are filed within 24 hours of treatment.

Most people can return to school or work the same day after a root canal, but plan to take it easy and avoid strenuous activity.

Expect the area to feel numb and a bit sore for a day or two.

Best practices to include
  • Rest if you feel tired, and consider taking the rest of the day off if you are in a lot of discomfort or had an infection. Avoid sports, heavy lifting, or intense exercise for about 48 hours.

  • Eat soft foods and avoid chewing on the treated tooth until your dentist places the final filling or crown.

  • Keep the area clean by brushing and flossing gently around the tooth to prevent irritation and infection.

  • Take any prescribed or recommended pain medicine exactly as directed and call your dentist if pain, swelling, or fever gets worse instead of better.

Can't find what you're looking for?